7月19日讯(记者 冯启榕)安徽籍姑娘张恒肩膀一高一低,患重度脊柱侧弯。7月14日,经市第一人民医院脊柱外科医生们10个多小时的手术成就“美丽蜕变”——
14岁的花季少女张恒(化名)在月经初潮到来后,发现自己的身体与常人“有异”——肩膀一高一低,身高也比同龄人矮小。但由于性格比较内向,她羞于向父母启齿,甚至拒绝与母亲一起洗澡,导致病情加重,脊柱侧弯在一年内病情极速加剧。今年夏天,在一次洗澡后,她身着吊带衫时被家人看出异样,这才将她送到了市第一人民医院脊柱外科治疗。14日,在整整10多个小时的手术后,这位爱美的女孩终于完成了她的“美丽蜕变”。
眼下,张恒正在市一院脊柱外科重症监护室接受进一步的康复治疗。而即将到来的9月,她将和同龄人一样挺起脊梁,自信地跨入校园。
脊柱畸形一年后才被父母发现
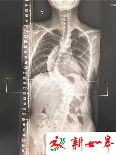
花季少女的背部呈现严重S型侧弯,已经影响肺部功能
张恒是一名如东兵房中学的初二学生,无论父母还是老师、同学,对她的一致评价就是内向少言,尤其最近一年来越发沉默寡言。其实,这与她患上的一种“怪病”有关,“她所患上的脊柱侧弯是程度最复杂最严重的一种,椎体旋转很严重,无论是胸椎还是腰椎都存在不同程度的侧弯,最大角度达到85度,手术难度很大。”市一院脊柱外科副主任医师、医学博士徐冠华介绍,脊柱侧弯的病因不明,在青少年生长发育期会加速病变,女孩子月经初潮来临是病变的一个关键节点。一旦患上脊柱侧弯,越早正规治疗效果越好,费用越低。
然而,由于张恒的性格原因,她从未将自己的“怪病”告诉家人,在病情加剧一年后,才被粗心的父母发现。“那天她衣服穿得比较少,我发现她的肩膀明显歪了,这才担心起来。”小张的父母谈起女儿的病情十分惭愧,由于他们两人平时都忙于打工,根本没有时间照看女儿。尽管女儿平时话不多,但一直乖巧懂事,学习也很认真,没有让父母操过心。
“她的脊柱呈现S型侧弯,从胸2节段到腰4节段都存在严重畸形,已经开始影响孩子的肺部功能,可以说到了必须手术的时刻!”徐冠华说,严重的脊柱侧弯改变的不仅仅是她的外表,还有她本该天真烂漫的童真。医生的一番话,令这对老实巴交的安徽夫妇差点跪下来求医生救救孩子。
近20万元高额手术费难倒这家人
医院开通“绿色通道”减免费用,送上“爱心饭卡”和善款
不问不知道,一问吓一跳!高达近20万元的手术费用令这家人望而却步,更无可奈何!张恒的父亲是一名油漆工,平时有活干的时候,一天可以挣160元,但并不是天天都有活干;母亲在兵房的一家服装厂剪线头,一天只有40元收入;张恒还有一个年幼的弟弟在上小学。一家四人的日子本来就紧巴巴的,实在无法支付这笔高昂的手术费用。
但爱女之心切切,尽管家境贫寒,这对安徽籍夫妇还是下定决心:不管花多少钱,都要把闺女的病看好,让她能跟其他同龄的女孩一样漂亮!于是,他们东奔西走,东借西凑,终于在左邻右舍和亲朋好友的帮助下,好不容易凑足了12万元。花季少女的病情也牵动着市一院医护人员的心,考虑到张恒一家的特殊情况,副院长、脊柱外科负责人崔志明当即决定开通“绿色通道”,在手术费尚未足额缴纳的情况下,先行手术,使病情得到了及时控制。
考虑到一家人生活拮据,市一院脊柱外科还专门拿出了“爱心饭卡”,住院期间全家人的餐费均从饭卡中扣除,并在第一时间送上了科室全体人员的1000元爱心善款。这一切都让张恒一家感动不已。
长达10个多小时手术置“钢钉”26颗
爱心捐款仍在持续进行中,两周后患者将长高4至5厘米
7月14日对张恒来说,是值得纪念的一天。当天,从7点25分至17点51分,市一院脊柱外科集中精英团队,为张恒进行了长达10多个小时的复杂手术——置入钛合金做的椎弓根螺钉26颗,伤口达到45厘米!“置钉的难度极大,在矫形的过程中,由于神经连着骨头,牵拉后,极有可能引起心跳骤停,还可能导致瘫痪!”徐冠华透露,为了最大程度地节省费用,该院对手术费和材料费均进行了减免。
7月15日,市一院公众微信平台以《以情动人,以手传心》为题,推送了14岁的安徽籍寒门少女张恒身患严重脊柱侧弯的故事,引起了该院不少热心的医护人员和“银银”、“黄逗”等网友的关注,他们也在第一时间纷纷通过微信转账,匿名捐出善款。眼下,各类爱心捐款仍在持续进行中。
幸运的是,张恒的此次手术十分成功,花季少女挺直腰杆的梦想终于实现!“最危险的一关过去了,后期的康复治疗仍然不可松懈!”市一院脊柱外科护士长顾海燕表示,针对张恒的病情,已经专门制订了个性化的护理及康复计划,顺利的话预计两周后即可出院。届时,她的身高将增加4至5厘米。







最新评论